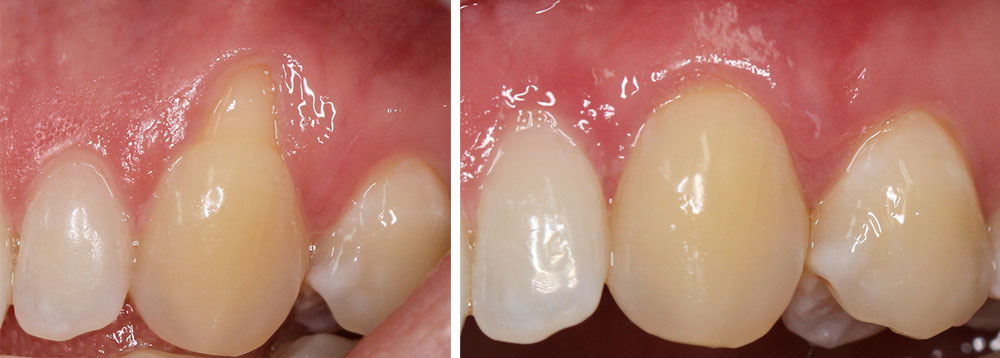
Gum grafting may be indicated in cases of gum shrinkage and recession to improve aesthetics, to treat sensitivity, to reduce the risk of decay or to simply bulk up the gum around the teeth. Reconstructive surgery aims to reduce the excess growth of the gum in cases of drug induced overgrowth (Dilantin, Cyclosporin etc) and in some cases after the completion of orthodontic treatment. This procedure helps establishing the optimum gum to tooth ratio for improved cosmetics, function and hygiene.
